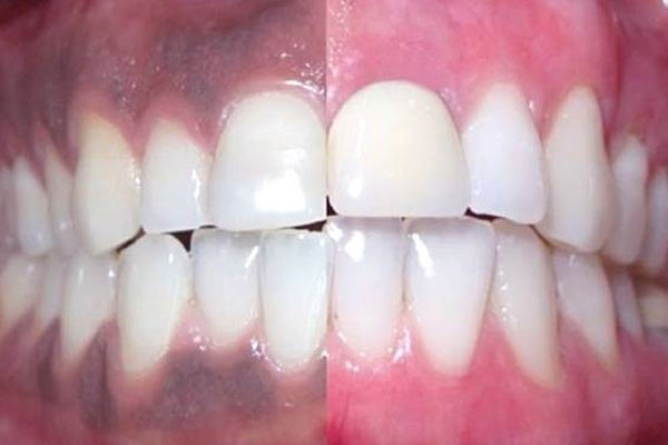
سیاهی لثه یکی از مشکلات رایجی است که بسیاری از افراد، به‌ویژه کسانی که سیگار می‌کشند، با آن مواجه هستند. استعمال دخانیات علاوه بر آسیب به دندان‌ها، لثه‌ها را نیز تحت تأثیر قرار می‌دهد و باعث تغییر رنگ لثه به سمت تیرگی و سیاهی می‌شود. این تغییر رنگ، به‌خصوص در افرادی که به سلامت و زیبایی دهان و دندان‌های خود اهمیت می‌دهند، یک نگرانی جدی است.
در این مقاله، به بررسی علل سیاهی لثه ناشی از سیگار، روش‌های نوین درمان این مشکل، و خدمات تخصصی دکتر مهدی کریمی، دندانپزشک زیبایی و جراح ایمپلنت، در زمینه رفع سیاهی لثه خواهیم پرداخت.

چرا سیگار باعث سیاهی لثه می‌شود؟

چرا سیگار باعث سیاهی لثه می‌شود؟

استعمال سیگار و دخانیات حاوی نیکوتین و قطران یکی از مهم‌ترین دلایل بروز مشکلات دهانی است. سیگار باعث می‌شود که رگ‌های خونی لثه‌ها کوچک شوند و خونرسانی به این بخش از دهان کاهش یابد. این کاهش خونرسانی به مرور زمان باعث می‌شود که لثه‌ها به رنگ تیره یا حتی سیاه تغییر کنند. علاوه بر آن، ترکیبات موجود در دخانیات باعث ایجاد لکه‌های تیره بر روی لثه و دندان‌ها می‌شوند.
سیاهی لثه نه تنها از نظر زیبایی ناخوشایند است، بلکه نشانه‌ای از آسیب جدی به بافت‌های دهان و دندان نیز می‌باشد. اگر این مشکل به‌موقع درمان نشود، ممکن است منجر به مشکلات جدی‌تری مانند بیماری‌های لثه و حتی از دست دادن دندان‌ها شود.

علل دیگر تیرگی لثه

در کنار سیگار، عواملی دیگر نیز ممکن است به سیاهی لثه‌ها منجر شوند که عبارت‌اند از:
•    ژنتیک: برخی افراد به طور طبیعی لثه‌های تیره‌تری دارند.
•    داروها: مصرف برخی داروها می‌تواند باعث تغییر رنگ لثه شود.
•    بیماری‌های لثه: بیماری‌های پریودنتال یا التهاب لثه می‌تواند باعث تغییر رنگ لثه شود.
•    فلزات سنگین: قرارگیری در معرض فلزات سنگین مانند نقره و سرب نیز می‌تواند باعث تیرگی لثه‌ها شود.

روش‌های درمان سیاهی لثه ناشی از سیگار

برای رفع سیاهی لثه ناشی از سیگار و بازگرداندن رنگ طبیعی به لثه‌ها، چندین روش درمانی وجود دارد که توسط دندانپزشکان زیبایی و متخصصان لثه پیشنهاد می‌شوند. در ادامه به برخی از این روش‌های نوین اشاره خواهیم کرد:
1. لیزر تراپی برای درمان سیاهی لثه
یکی از روش‌های مدرن و بسیار موثر برای رفع تیرگی و سیاهی لثه، استفاده از لیزر تراپی است. در این روش، با استفاده از دستگاه لیزر، رنگدانه‌های تیره موجود در لثه تخریب می‌شوند و لثه‌ها به رنگ طبیعی خود بازمی‌گردند. لیزر درمانی نه‌تنها بدون درد و خونریزی است، بلکه نتایج آن نیز به سرعت قابل مشاهده است.
دکتر مهدی کریمی از تکنیک‌های لیزر برای درمان سیاهی لثه با دقت بالا و بدون ایجاد آسیب به بافت‌های مجاور استفاده می‌کنند. این روش به بیماران این امکان را می‌دهد تا بدون درد و ناراحتی از لثه‌هایی سالم و زیبا برخوردار شوند.
2. جراحی زیبایی لثه (جینجیوپلاستی)
در مواردی که سیاهی لثه به دلیل ضخامت یا تغییرات ساختاری بافت لثه ایجاد شده باشد، جینجیوپلاستی یا جراحی زیبایی لثه می‌تواند یکی از گزینه‌های مناسب باشد. این جراحی که معمولاً با بی‌حسی موضعی انجام می‌شود، شامل برداشتن بخش‌هایی از بافت لثه و بازسازی آن به شکلی طبیعی است.
دکتر مهدی کریمی که تجربه بسیاری در جراحی‌های زیبایی لثه دارند، می‌توانند با استفاده از این روش به بیماران کمک کنند تا لثه‌های تیره و غیرطبیعی خود را به شکلی زیبا و طبیعی بازیابی کنند.
3. پاکسازی‌های حرفه‌ای و جرم‌گیری
سیگار باعث تشکیل پلاک و جرم‌های مقاوم بر روی لثه‌ها و دندان‌ها می‌شود که در طول زمان به تغییر رنگ لثه‌ها منجر می‌گردد. پاکسازی حرفه‌ای و جرم‌گیری در فواصل منظم می‌تواند به رفع لکه‌ها و بازگرداندن رنگ طبیعی لثه‌ها کمک کند.
مطب دکتر مهدی کریمی به‌صورت دوره‌ای برای بیماران سیگاری جرم‌گیری‌های عمیق و پاکسازی‌های حرفه‌ای ارائه می‌دهد تا از سلامت و زیبایی لثه‌های آن‌ها محافظت کند.

مراقبت‌های پس از درمان سیاهی لثه

پس از انجام هر یک از روش‌های درمانی، رعایت نکات بهداشتی و مراقبت‌های لازم برای حفظ نتایج بسیار حائز اهمیت است. این موارد شامل:
•    ترک سیگار: ترک سیگار اولین و مهم‌ترین گام برای حفظ سلامت لثه‌ها و جلوگیری از بازگشت سیاهی است.
•    رعایت بهداشت دهان و دندان: مسواک زدن منظم و استفاده از نخ دندان و دهانشویه‌های مناسب می‌تواند به پیشگیری از ایجاد لکه‌های جدید کمک کند.
•    مراجعه منظم به دندانپزشک: انجام چکاپ‌های منظم دندانپزشکی به منظور نظارت بر وضعیت لثه‌ها و دندان‌ها از اهمیت بسیاری برخوردار است.
دکتر مهدی کریمی، دندانپزشک زیبایی، با توجه به دانش و تخصص خود در زمینه‌های مختلف دندانپزشکی، از جمله ترمیم‌های سرامیکی، جراحی زیبایی لثه و ایمپلنت‌های دندانی، به بیماران کمک می‌کند تا سلامت و زیبایی دندان‌ها و لثه‌های خود را حفظ کنند. استفاده از تکنولوژی‌های نوین مانند لیزر تراپی و CAD-CAM، این امکان را به بیماران می‌دهد تا با روشی سریع و موثر، به نتایج دلخواه خود دست یابند.


روش‌های درمان سیاهی لثه ناشی از سیگار

چرا به دکتر مهدی کریمی برای درمان سیاهی لثه اعتماد کنیم؟

دکتر مهدی کریمی به عنوان یکی از دندانپزشکان برجسته زیبایی در ایران با بیش از یک دهه تجربه، دانش و مهارت لازم را در زمینه درمان مشکلات لثه، از جمله سیاهی ناشی از سیگار، داراست. ایشان دارای مدرک فلوشیپ زیبایی از دانشگاه جنوا ایتالیا و عضو ITI (International Team for Implantology) هستند و با استفاده از جدیدترین روش‌های دندانپزشکی زیبایی و درمانی، خدماتی بی‌نظیر به بیماران خود ارائه می‌دهند.
خدمات مطب دکتر مهدی کریمی شامل موارد زیر است:
•    ایمپلنت دندان (اشترومن سوئیس) با روکش تمام سرامیک
•    طراحی لبخند 
•    ترمیم‌های سرامیکی اینله و آنله با تکنولوژی CAD-CAM
•    لمینیت‌های سرامیکی و کامپوزیتی
•    درمان زیبایی لثه (اصلاح تیرگی‌ها و فرم لثه)
•    ترمیم‌های کامپوزیتی همرنگ دندان
•    دندانپزشکی پیشگیرانه
سیاهی لثه ناشی از سیگار یک مشکل رایج است که نه تنها از نظر زیبایی تأثیر منفی دارد، بلکه نشانه‌ای از آسیب به بافت‌های دهان و لثه‌ها نیز محسوب می‌شود. اما خوشبختانه با استفاده از روش‌های نوین دندانپزشکی مانند لیزر تراپی، جراحی زیبایی لثه و میکروپیگمنتیشن، امکان درمان این مشکل به‌طور موثر وجود دارد.
دکتر مهدی کریمی با بهره‌گیری از دانش و تخصص در زمینه دندانپزشکی زیبایی و ایمپلنت، به بیماران خود کمک می‌کند تا با استفاده از جدیدترین تکنولوژی‌ها، لثه‌هایی سالم و زیبا داشته باشند. اگر از سیاهی لثه ناشی از سیگار رنج می‌برید، مشاوره و درمان حرفه‌ای از سوی دکتر کریمی می‌تواند به شما کمک کند تا لبخندی زیبا و لثه‌هایی سالم‌تر داشته باشید.
"لبخندی زیبا در محیطی آرام و بدون درد"
در کلینیک دکتر مهدی کریمی، ترمیم‌های دندانپزشکی در محیطی آرام و با استفاده از جدیدترین تجهیزات انجام می‌شود. با اطمینان خاطر، به ما اعتماد کنید تا به لبخند دلخواه خود برسید.
برای کسب اطلاعات بیشتر و دریافت نوبت مشاوره، می‌توانید به مطب دکتر مهدی کریمی مراجعه کنید.
آدرس: تهران، سعادت آباد، خیابان سرو غربی، خیابان بخشایش، پایین تر از بیمارستان عرفان، ساختمان پزشکان افتخار، پلاک۵۶، طبقه۴، واحد۴۰۲ 
شماره تماس:

 ۰۲۱-۲۲۰۸۰۰۹۰

 ۰۹۱۲۰۳۳۰۶۵۰

اینستاگرام : doctor_mehdikarimi