یکی از مشکلاتی که ممکن است برای دندان هایتان ایجاد گردد شکستگی است که عواملی مانند ضربه،فشار،درمان نامناسب و .. موجب آن میگردد.برای رفع این مشکل نیاز است به دندانپزشک متخصص در این زمینه مراجعه نمایید. در ادامه روش های ترمیم دندان شکسته را به شما خواهیم گفت.

بهترین روش ها برای درمان شکستگی دندان
به صورت کلی با توجه به محل دندان،سلامت دندان ها،میزان شکستگی و ... روش های مختلفی برای رفع این مشکل وجود دارد. برخی از این روش ها شامل:
1.پر کردن دندان
اگر شکستگی دندان شما کوچک باشد یا مینای بخشی از دندان شما یه مقدار کم آسیب دیده باشد میتوان با استفاده از مواد کامپوزیت همرنگ دندان آن قسمت را پر کرد.
2.ونیرهای سرامیکی
ونیر های نازک سرامیکی گزینه مناسبی برای زیبایی و شکستگی های سطحی است که بر روی دندان چسبانده میشود.
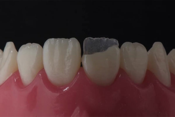
3.روکش دندان
اگر میزان شکستگی زیاد بوده و و دندان به استحکام بیشتری نیاز داشته باشد روکش بر روی آن قرار میگیرد که این روکش سطح کل دندان را گرفته و مقاومت بیشتری ایجاد میکند.
4.باندینگ دندان
این روش نیز مشابه پر کردن بوده ولی بیشتر برای زیبایی و ترمیم های کوچک استفاده میشود. این ماده که از جنس کامپوزیت است را به دندان چسبانده و به آن شکل میدهند.
5.عصب کشی و ترمیم
اگر شکستگی موجب آسیب دندان شود و یا عفونت ایجاد شود ابتدا باید عصب کشی انجام شده و سپس با روکش و یا پرکردن ترمیم شود.
6.ایمپلنت یا بریج
اگر شکستگی به شکل و اندازه ای باشد که نتوان آن را ترمیم کرد ممکن است نیاز به کشیدن و جایگذاری ایمپلنت باشد
مراقبت های عمومی بعد از ترمیم شکستگی دندان
برای اینکه ترمیم شکستگی به خوبی انجام شود و نتیجه آن رضایت بخش باشد رعایت مراقبت های لازم امری ضروریست.برخی از مراقبت هایی که باید صورت گیرد شامل:
• از خوردن غذا و تنقلات سفت مانند ته دیگ،آجیل،آبنبات و ... بپرهیزید تا ترمیم های انجام شده آسیب نبینند.
• اگر در هنگام شب دندان قروچه دارید لازم است به پزشک بگویید تا در صورت لزوم نایت گارد برای شما تجویز شود.
• دو بار در طول روز مسواک زده و طبق توصیه پزشک از نخ دندان و دهانشویه استفاده نمایید.
• به هیچ عنوان با دندان خود مواردی مانند باز کردن در بطری و یا پاره کردن بسته بندی را انجام ندهید.
• بهت است با سمت دیگر تا چند روز اول غذا را جوییده و در صورت داشتن روکش غذاهای چسبنده نخورید.
ترمیم شکستگی دندان توسط دکتر ابوالحسنی
دکتر ابوالحسنی با بهرهمندی از دانش تخصصی در حوزه دندانپزشکی و ایمپلنتولوژی، گزینهای شایسته و قابل اطمینان جهت ترمیم دندانهای شکسته بهشمار میرود. ایشان دارای فلوشیپ ایمپلنت از انجمن بینالمللی ICOI آمریکا، گواهینامه کاشت دندان از آکادمی بینالمللی پاریس و همچنین دانشگاه تهران میباشند که همگی بیانگر تسلط علمی و مهارتهای حرفهای ایشان در حوزه درمانهای پیشرفته دندانپزشکی است.
کلینیک تحت مدیریت ایشان به تجهیزات پیشرفته دندانپزشکی دیجیتال مجهز بوده و از جدیدترین تکنولوژیها و مواد باکیفیت روز دنیا در زمینه ترمیم، لمینیت، کامپوزیت، روکشهای سرامیکی و درمان ریشه بهره میبرد. رعایت دقیق پروتکلهای بهداشتی، استفاده از دستگاههای پیشرفته تصفیه هوا و وکیوم خارج دهانی با قدرت بالا، فضای درمانی ایمن و استریلشدهای را برای بیماران فراهم میسازد.
با توجه به مجموعهای از عوامل علمی، تکنولوژیکی و رعایت کامل استانداردهای بهداشتی، انتخاب دکتر ابوالحسنی برای انجام درمانهای ترمیمی، بهویژه در مواردی چون شکستگی دندان، انتخابی آگاهانه و مطمئن خواهد بود.
.jpg)
نتیجه گیری
با توجه به تمام مواردی که گفته شد ترمیم دندان های شکسته بسته به سلامت دهان و دندان،شدت شکستگی و تشخیص پزشک دارد. لازم است برای انجام آن به دندانپزشکی مراجعه کرده که تخصص و مهارت کافی در این زمینه داشته باشد. در مطب دکتر ابوالحسنی تمامی خدمات دندانپزشکی با بالاترین کیفیت و با مجهز ترین ابزار انجام میشود تا خاطره ای خوش برای شما رقم بخورد.
آدرس: میدان اول شهران، ابتدای شهران شمالی، جنب بانک اقتصاد نوین، ساختمان پارسیان، طبقه ۴، واحد۱۷
وبسایت : http://drabolhassani.com/